Doctorado en Ciencias de la Complejidad Social
Universidad del Desarrollo
Doctorado en Ciencias de la Complejidad Social
Inicio
Inicio
Presentación
Presentación
¿Quiénes somos?
Perfil de ingreso
Investigación & Herramientas
Perfil de Egreso
Nosotros
Nosotros
Investigadores
Estudiantes
Egresados
Equipo
Programa
Programa
Escuela de Verano en Ciencias de la Complejidad Social 2026
Formación para la investigación en Ciencias Sociales Analíticas
Formación en investigación interdisciplinaria en Ciencias Sociales
Malla
Investigación
Investigación
Líneas de Investigación
Antecedentes
Pasantías
Proyectos
Publicaciones
Admisión
Admisión
Antecedentes
Requisitos
Postulación
Inicio
Inicio
Presentación
Presentación
¿Quiénes somos?
Perfil de ingreso
Investigación & Herramientas
Perfil de Egreso
Nosotros
Nosotros
Investigadores
Estudiantes
Egresados
Equipo
Programa
Programa
Escuela de Verano en Ciencias de la Complejidad Social 2026
Formación para la investigación en Ciencias Sociales Analíticas
Formación en investigación interdisciplinaria en Ciencias Sociales
Malla
Investigación
Investigación
Líneas de Investigación
Antecedentes
Pasantías
Proyectos
Publicaciones
Admisión
Admisión
Antecedentes
Requisitos
Postulación
Proyectos en Ejecución
Doctorado en Ciencias de la Complejidad Social
/
Proyectos en Ejecución
28 agosto 2019
CICS UDD se adjudica Fondef para desarrollar plataforma que permita una mejor decisión en la Educación Superior
Noticias
,
Proyectos en Ejecución
26 julio 2019
Investigación Fondecyt del Dr. Francisco Zamorano: “el fútbol puede ser visto como un modelo de guerra, pero en tiempos de paz”
Noticias
,
Proyectos en Ejecución
24 enero 2019
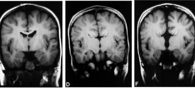
[Patente de Invención] “Un método para procesar imágenes cerebrales”: el desafío de detectar la Epilepsia tempranamente
Noticias
,
Proyectos en Ejecución
14 noviembre 2018
Estudiantes del DCCS CICS se adjudican Fondo del Centre for Experimental Social Sciences USACH
Noticias
,
Proyectos en Ejecución
31 agosto 2018
Con decidoras conclusiones, finaliza Seminario de presentación del proyecto Fondef (IT15I10079) a cargo del CICS y DCCS
Noticias
,
Proyectos en Ejecución
12 marzo 2018
Expectativa paradójica: actividad cerebral oscilatoria e interacción social en esquizofrenia
Proyectos en Ejecución
12 marzo 2018
El juego en la estructura social de los bonobos
Proyectos en Ejecución
12 marzo 2018
Estructura de los Juicios Morales en Población General
Proyectos en Ejecución
12 marzo 2018
Tres grados de separación en Twitter
Proyectos en Ejecución
1
2
3
4
Enlaces
Biblioteca UDD
Mi UDD
Transparencia UDD
Calendario Académico UDD